So, I'm on the dentist chair as I type and this morning I've already had 3 impressions, I think I'll be getting a fourth because they have me waiting already for a bit. More news later today...
Saturday, September 14, 2013
Thursday, September 12, 2013
Impressions Pt2
It happened again! I received a call from my dentist office asking me to go in and re-do impressions. This will cause another 2 weeks delay to my treatment, how frustrating. I was told that this time the impression was rejected by the lab because of some issue with my front teeth. What are going to do? I'm sure it is very frustration for them also. I made an appointment to go in this Saturday at 10am to re-do molds. Wish me luck!
Saturday, September 7, 2013
Tray 10- Quick Update
Hello Everyone!
I've been wearing tray 10 since 8/17 :(
I'm sorry I hadn't had a chance to update you guys on my progress. I've been really busy at work. So, I went to go see my Ortho on August 17th. In this appointment I went through a routine 6 month check up. They cleaned and polished my teeth. Afterwards they took my third set of impressions since starting Invisalign. We needed new molds for the new trays that need to be created. The appointment took a good hour or so.
A few days later...
I got a call from the dentist office asking me to come in again to re-do the top impression. Apparently the impression taken was being rejected by the lab at invisalign and they requested a new mold. I went in on August 29th and we took another top impression. My Ortho explained that they didn't have a clear impression of my front teeth and that's why the lab rejected the cast. This is causing a delay in my treatment unfortunately, but what are you going to do. That's life. I'll keep you guys posted on when the new trays arrive. I'll also do a before and after picture on Tray 1 and Tray 10. Big difference.
On a side note!
I am a huge makeup fan, I am thinking about starting a small makeup blog. Feel free to check it out http://anasvanitymirrors.blogspot.com/
Thanks for reading!
I've been wearing tray 10 since 8/17 :(
I'm sorry I hadn't had a chance to update you guys on my progress. I've been really busy at work. So, I went to go see my Ortho on August 17th. In this appointment I went through a routine 6 month check up. They cleaned and polished my teeth. Afterwards they took my third set of impressions since starting Invisalign. We needed new molds for the new trays that need to be created. The appointment took a good hour or so.
A few days later...
I got a call from the dentist office asking me to come in again to re-do the top impression. Apparently the impression taken was being rejected by the lab at invisalign and they requested a new mold. I went in on August 29th and we took another top impression. My Ortho explained that they didn't have a clear impression of my front teeth and that's why the lab rejected the cast. This is causing a delay in my treatment unfortunately, but what are you going to do. That's life. I'll keep you guys posted on when the new trays arrive. I'll also do a before and after picture on Tray 1 and Tray 10. Big difference.
On a side note!
I am a huge makeup fan, I am thinking about starting a small makeup blog. Feel free to check it out http://anasvanitymirrors.blogspot.com/
Thanks for reading!
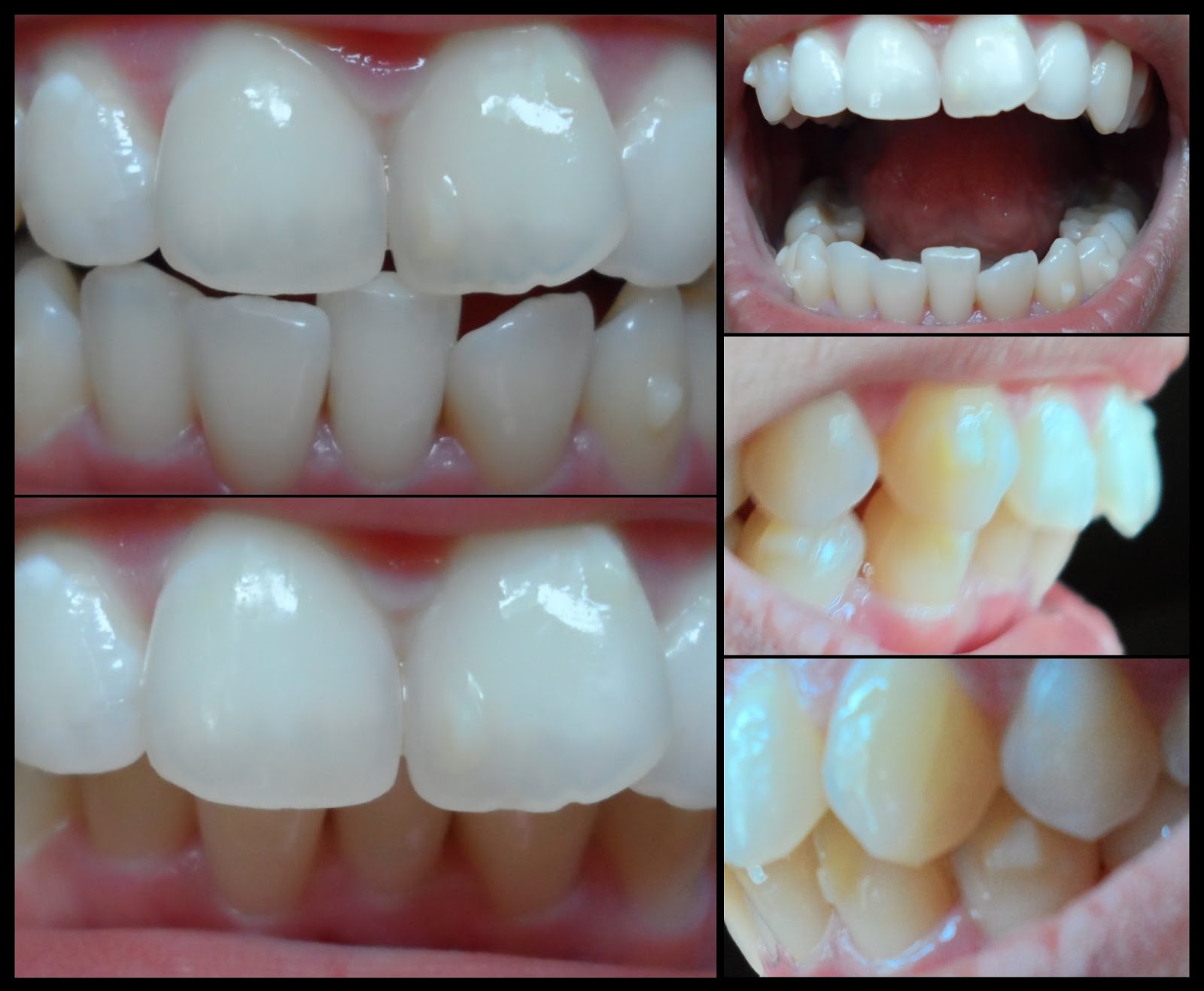
Tuesday, August 6, 2013
Tray 7 & 8
I've been wearing invisalign for 16wks and 5 days. I'm currently on Tray 9.
Hello readers!
Not much to report, I have finished tray 7 and 8. I have an appointment to see my Ortho on August 17th. I've notice slow but steady changes. My attachments/buttons are still in place and I haven't had any trouble with them at all. Taking the trays out has become easy and I can do it without any trouble now. I've received a few comments from family members who tell me they can see a change in my teeth, very exciting to hear. My trays stay clean and clear so I think the cleaning method I'm following works very well.
Here are some more pics for you guys :)
Hello readers!
Not much to report, I have finished tray 7 and 8. I have an appointment to see my Ortho on August 17th. I've notice slow but steady changes. My attachments/buttons are still in place and I haven't had any trouble with them at all. Taking the trays out has become easy and I can do it without any trouble now. I've received a few comments from family members who tell me they can see a change in my teeth, very exciting to hear. My trays stay clean and clear so I think the cleaning method I'm following works very well.
Here are some more pics for you guys :)
End of Tray 7
End of Tray 8
Saturday, July 20, 2013
Invisalign VS Traditional Wire Braces
My sister in law Edith and I decided to put together a little Q and A on Braces vs. Invisalign. We hope you guys find this helpful. Feel free to leave comments if you guys have any questions for us :) Happy reading!
When did you start
your treatment?
Ana: I began Invisalign treatment on April 11th 2013
Edith: I had my braces attached on May 6th 2013
Ana: I began Invisalign treatment on April 11th 2013
Edith: I had my braces attached on May 6th 2013
How much will the
treatment cost?
Ana: Cost of Invisalign treatment ranges from $3500 to $8000. I was quoted $4500 for my treatment.
Edith: Depends on bracket preference, white or silver. White brackets are $500 more. Total treatment cost for myself since I chose white brackets was $3800.
How long is the treatment estimated to last?
Ana: Approximately 12 to 18 months. It really depends on how compliant you are with your treatment plan. You are recommended to wear the trays for 22hrs a day.
Edith: 18 months
Ana: Cost of Invisalign treatment ranges from $3500 to $8000. I was quoted $4500 for my treatment.
Edith: Depends on bracket preference, white or silver. White brackets are $500 more. Total treatment cost for myself since I chose white brackets was $3800.
How long is the treatment estimated to last?
Ana: Approximately 12 to 18 months. It really depends on how compliant you are with your treatment plan. You are recommended to wear the trays for 22hrs a day.
Edith: 18 months
After initial
consultation how long was it before you started treatment?
Ana: It was about 6 to 8 weeks. I had to go back in to get my molds re-done. This took up more time.
Edith: About 2 months. Before treatment can start the dentist will perform a routine dental exam and make sure that all dental issues are tended to this may include deep cleanings, cavity repair, extraction etc.
Ana: It was about 6 to 8 weeks. I had to go back in to get my molds re-done. This took up more time.
Edith: About 2 months. Before treatment can start the dentist will perform a routine dental exam and make sure that all dental issues are tended to this may include deep cleanings, cavity repair, extraction etc.
How often are
appointments scheduled for progress check and adjustment?
Ana: I visit my dentist every six weeks. In each appointment my dentist gives me a set of 3 trays to switch out every 2 weeks until my next appointment. I am starting off with a series of 10 trays and then adjustments will be made and more trays will be created.
Edith: Monthly. In each appointment my dentist uses some kind of dental tool to make adjustment, I also get to change the color bands that go around my brackets.
Ana: I visit my dentist every six weeks. In each appointment my dentist gives me a set of 3 trays to switch out every 2 weeks until my next appointment. I am starting off with a series of 10 trays and then adjustments will be made and more trays will be created.
Edith: Monthly. In each appointment my dentist uses some kind of dental tool to make adjustment, I also get to change the color bands that go around my brackets.
Dental routine
changes?
Ana: I am required to brush and floss after every meal in order to prevent cavity formation. Since my treatment requires me to insert trays I need to make sure my teeth are as clean as possible because plaque buildup can become a problem. I’m brushing and flossing at least 3-4 times a day. I purchased a water flosser to make flossing quick and easy. Works very well.
Edith: I try to brush my teeth after every meal. I use a water flosser and electric toothbrush. Along with brushing and flossing more regularly I use dental wax to prevent the wire from scraping my inner cheek. I also use rubber bands to help with teeth movement.
Ana: I am required to brush and floss after every meal in order to prevent cavity formation. Since my treatment requires me to insert trays I need to make sure my teeth are as clean as possible because plaque buildup can become a problem. I’m brushing and flossing at least 3-4 times a day. I purchased a water flosser to make flossing quick and easy. Works very well.
Edith: I try to brush my teeth after every meal. I use a water flosser and electric toothbrush. Along with brushing and flossing more regularly I use dental wax to prevent the wire from scraping my inner cheek. I also use rubber bands to help with teeth movement.
What is the biggest
adjustments you had to make during treatment?
Ana: Definitely Diet! It’s recommended that I wear my braces for 22hrs in a day, so I pretty much have 2hrs to be without my trays. Keep in mind I also have to brush and floss before popping in the trays and it takes me about 7-10 minutes. With this said I really only have an hour and a half that I need to break down to eat breakfast, lunch and dinner. It can be very difficult at times. Parties and events are the worst because all you do is mingle, drink and snack. While I have my trays in I’m recommended to only drink water. Other drinks can stain your trays, not to mention most drinks contain sugar or sweeteners that aren’t the best for your teeth. You don’t want that junk sitting in your trays rotting your teeth. It’s definitely a big adjustment.
Edith: Diet Changes. The beginning month of treatment I was recommended to consume soups. Nothing too hard or chewy because of fear of wire coming off or breaking a bracket. No hard candy (blow pops, tootsie rolls). I am unable to bite into fruits (apples or pears). I was provided with a list of foods to avoid.
Ana: Definitely Diet! It’s recommended that I wear my braces for 22hrs in a day, so I pretty much have 2hrs to be without my trays. Keep in mind I also have to brush and floss before popping in the trays and it takes me about 7-10 minutes. With this said I really only have an hour and a half that I need to break down to eat breakfast, lunch and dinner. It can be very difficult at times. Parties and events are the worst because all you do is mingle, drink and snack. While I have my trays in I’m recommended to only drink water. Other drinks can stain your trays, not to mention most drinks contain sugar or sweeteners that aren’t the best for your teeth. You don’t want that junk sitting in your trays rotting your teeth. It’s definitely a big adjustment.
Edith: Diet Changes. The beginning month of treatment I was recommended to consume soups. Nothing too hard or chewy because of fear of wire coming off or breaking a bracket. No hard candy (blow pops, tootsie rolls). I am unable to bite into fruits (apples or pears). I was provided with a list of foods to avoid.
How long after
adjustments do you feel pain?
Ana: I need to switch out my trays every two weeks and the first two days are always the most difficult. My teeth become very sensitive when biting down, they feel sore.
Edith: About a week
Ana: I need to switch out my trays every two weeks and the first two days are always the most difficult. My teeth become very sensitive when biting down, they feel sore.
Edith: About a week
How long into the
treatment did you stop noticing the braces?
Ana: I still notice my braces now, but there are times in the day that I do forget I have the trays in. Others are more likely to forget you are wearing them. Since I started my treatment I’ve had numerous family members forget completely. I’ve turned down more food and drinks now than ever in my life!! SAD! lol
Edith: To this day I still notice them.
Ana: I still notice my braces now, but there are times in the day that I do forget I have the trays in. Others are more likely to forget you are wearing them. Since I started my treatment I’ve had numerous family members forget completely. I’ve turned down more food and drinks now than ever in my life!! SAD! lol
Edith: To this day I still notice them.
What are the biggest
draw backs of the treatment?
Ana: While going through invisalign treatment you have attachments/buttons added to your teeth. They make your teeth look a bit weird when trays aren’t inserted, you get use to them but it definitely makes the treatment less “invisible”. The no snacking during the day kinda sucks to. I miss it at times.
Edith: Food gets stuck in between brackets and wire. I’ve become self-conscience about this and find myself constantly checking my teeth. Also irritation on inner cheeks because of the metal wire.
Ana: While going through invisalign treatment you have attachments/buttons added to your teeth. They make your teeth look a bit weird when trays aren’t inserted, you get use to them but it definitely makes the treatment less “invisible”. The no snacking during the day kinda sucks to. I miss it at times.
Edith: Food gets stuck in between brackets and wire. I’ve become self-conscience about this and find myself constantly checking my teeth. Also irritation on inner cheeks because of the metal wire.
Did you get a lisp?
Ana: Yes, it lasted a few days. I talk a lot at work and I got use to the trays pretty quickly.
Edith: Yes, but only lasted about a month.
Does your mouth feel heavier?
Ana: No, not really.
Edith: Yes
Did you notice a difference in your breath?
Ana: Your mouth tends to get dry, and I do feel like my breath isn’t as fresh as it would be if I could just pop a mint. I do miss my mints. My husband says he doesn’t notice a difference so that’s good news, although he is the one that came up with this question, so maybe he is just being nice.
Edith: No
Any helpful advice or tips for Hollywood smile pursuers?
Ana: If you choose to go with invisalign you should get a “Cleaning Travel Kit” ready, this way you will always be prepared if you need to brush and floss while you are out and about. Try and carry a lip balm, you tend to get dry lips while wearing the trays. Pick a lip balm with no tint/color, otherwise it may stick to your clear trays just like lipstick sticks to your teeth. Try and change trays at night, this way you can sleep while your teeth adjust to the new tray. Be as compliant as you can with your recommended treatment, this will help the progress go smoothly and help you achieve that dazzling Hollywood smile you’ve been dreaming about a lot quicker.
Edith: If you have traditional braces do not run your tongue along the braces, it may get stuck and trust me it hurts. Use dental wax if back wire is irritating your inner cheek, but don’t forget to remove dental wax before eating otherwise you may end up swallowing it. It is very painful the first month and later it feels uncomfortable when eating, you can try and take a pain reliever to minimize discomfort. Have fun with them, changing colors on brackets every visit can be fun and creative. I use the holiday to inspire me. Currently I have red, white and blue because of the fourth of July. It takes awhile to get use to them, but don’t be discouraged it gets better J
That’s all for now. Thanks for reading and feel free to post
any other question we may have missed.
Saturday, July 6, 2013
Tray 6
Just finished Tray 6th and started Tray 7
I had an appointment to see my Ortho today at 1pm. The appointment was quick and painless. I thought they would be doing the IPR today but I was wrong. According to my Ortho the IPR wont come until later in the treatment. I received tray 7, 8 and 9. I have another appointment in 6 weeks, at this next appointment I'll be receiving tray 10 and they'll be making another set of molds/impressions for invisalign to work on another set of trays.
I had an appointment to see my Ortho today at 1pm. The appointment was quick and painless. I thought they would be doing the IPR today but I was wrong. According to my Ortho the IPR wont come until later in the treatment. I received tray 7, 8 and 9. I have another appointment in 6 weeks, at this next appointment I'll be receiving tray 10 and they'll be making another set of molds/impressions for invisalign to work on another set of trays.
Here are some pictures of the my teeth at the end of Tray 6.
I'm still working on the Q and A for the braces and invisalign post. If any of you guys have questions feel free to comment below, Edith and I will do our best to answer them.
Saturday, June 22, 2013
Tray 4 & 5
I'm currently on Tray 6.... Just switched them out last night.
Progress… It’s been a while since my last post. I went to the dentist on May 25th at 1pm. My appointment didn’t run very long. Ortho said my teeth are moving as expected. She asked if I had noticed a difference in my bite and although I never paid much attention before there was a big difference. As I bite down I realized my teeth shifted and they don’t touch the way they used to. I did notice slight differences in my teeth, for one it has gotten a lot easier to floss and small gaps have been forming between my teeth. My dentist explained that at this stage of my treatment they are expanding my teeth to make room for the movement that will take place soon. On my next appointment they will be doing some IPR(Interproximal Reduction) which is a big fancy way of saying they will be shaving my teeth to make even more room for the teeth to shift. I've also heard it called "Slenderize". I'm not very excited about this but from my research I hear it's no big deal and pretty painless. My next appointment is on July 6th.
Progress… It’s been a while since my last post. I went to the dentist on May 25th at 1pm. My appointment didn’t run very long. Ortho said my teeth are moving as expected. She asked if I had noticed a difference in my bite and although I never paid much attention before there was a big difference. As I bite down I realized my teeth shifted and they don’t touch the way they used to. I did notice slight differences in my teeth, for one it has gotten a lot easier to floss and small gaps have been forming between my teeth. My dentist explained that at this stage of my treatment they are expanding my teeth to make room for the movement that will take place soon. On my next appointment they will be doing some IPR(Interproximal Reduction) which is a big fancy way of saying they will be shaving my teeth to make even more room for the teeth to shift. I've also heard it called "Slenderize". I'm not very excited about this but from my research I hear it's no big deal and pretty painless. My next appointment is on July 6th.
Day to day life…. I’ve been wearing invisalign for about ten
weeks, I think I finally got my eating routine down. I’m surprise to say that my day to day life hasn’t changed much. There
has been no change to my regular work day. I work at a call center and I’m not
allowed any food in my cube so I didn’t really munch during the day. When it comes to the weekend I do notice I think twice before removing my trays... "Is this snack worth it" or " only an hour before dinner, I can wait". I started rating food, and to be honest snacking wasn't worth it. I try and wear my trays at least 22hrs a day. Some days I even wear them longer.
Drinking alcohol.... I'm sad to say that I have decided not to drink anymore alcohol for the remainder of my treatment. In all honesty I'm a lightweight when it comes to drinking and I shouldn't drink alcohol quickly and because my invisalign wear time is so demanding drinking alcohol fast had become a bit of a bad habit. I even lost my trays briefly at home while having a karaoke night with some girlfriends. Luckily my friend Karina found them :) Thanks girlie! I'm sure I'm not missing out on much. Family parties may be a bit challenging since my whole family drinks, but this small sacrifice will be worth it.
Braces vs. Invisalign..... I have some exciting news, My sister-in-law Edith got braces on May 6th and we are thinking about composing a Q and A post for everyone. I'll keep you guys posted on that.
Pictures.... so even thought I've been neglecting my blog, I have been trying to keep up with my invisalign progress through pictures. I see a slight difference here and there but nothing to drastic yet. According to my Ortho the noticeable changes will come after tray 10.
Here are picture at the end of Tray 4
I will try and post another entry after my appointment on July 6th. I will be getting tray 7, 8, and 9.
Thanks for reading!
Sunday, May 19, 2013
Tray 3
It's been a little while since I last updated you guys, so I decided to write a small post. I'm on Tray 3 at the moment and I have to say it has been the most painful tray yet, with that said I'd also like to say the discomfort and pain was only present for the first two days after I had switched over. Eating became uncomfortable and I had to eat with my back molars because my front teeth had become very sensitive. I gave up on anything that was difficult to chew for those two days. I remember I was at the end of day two after switching to tray 3 and needed to remove my trays for dinner, the pressure of the trays on my teeth made removal painful. My teeth felt loose, I even wiggled each tooth to see if they would move, like when you're a kid and have a loose tooth, but they didn't. I had a bread bowl with broccoli soup from Panera that night. Once dinner was done, I gave my teeth about 10 minutes to rest. I've been really good about keeping the trays in for the 22hours a day and I had 10 minutes to spare that day. After the little break I brushed my teeth and flossed. I inserted tray 3 prepared for the pain that would follow but the tray felt just fine. I even double checked my tray to make sure it was #3 because it fit easily with no pain. The change was unbelievable. I guess my teeth just needed a few minutes to get themselves "together" ha ha! The trays feel just fine now. I have an appointment with my Ortho on Saturday, May 25th. She will check my progress and give me 3 new trays. I guess that's all for now.
Here are some pictures I took after the end of Tray 2.
Tuesday, April 30, 2013
Tray 2
I successfully completed two weeks of my Invisalign treatment on 4/25/13. It has been a bit of a challenge getting used to a new oral hygiene routine. Dining out has become a bit more complicated, I went out to dinner with some friends and could only have alcohol with my meal, what a bummer! I called it quits after that since I had to brush and floss to get the aligners back in. I have been very compliant with the suggested 22hr wear time, but at times it feels like a sacrifice. I find myself brushing and flossing in my car when restrooms aren't an option. Which reminds me a small bottled water would make a good addition to the travel kit post I have. I need to remember to add that. I did have a lisp when I started tray 1, which has gone away. I work at a call center so I pretty much talk for a living. I got a lot of practice in and the lisp was only around for about 2 days. The tissue on the floor of my mouth does get sore from time to time. The edges of my trays rub against the soft tissue irritating it. I noticed it more on the first days of tray 1 and its back now that I started tray 2. I remember reading other invisalign blogs suggesting to carry water and lip balm... BOY !! Did they get that right. I definitely drink more water now than I did before. All the talking at work dries out my mouth and I also notice that I'm constantly re-applying lip balm.
The invisalign trays in my opinion are not noticeable at all, in fact my family even forgets that I'm wearing them. I don't think anyone at work noticed until I informed them. I still smile without any hesitation, and believe it or not I forget that I'm wearing them most of the time. The treatment has been great so far with minimal discomfort but I can honestly say NO PAIN.... so far. I'm waiting for it. The attachments don't bother me at all anymore, although they do make the aligners more visible.
I switched trays on Thursday(4/25) before bed, this was highly recommended by many Invisalign bloggers because as I mentioned before the first few days of any new tray are the worst. The trays felt very tight, and made my teeth ache but I fell asleep without any problem and in the morning the trays felt just fine. I didn't have any trouble taking them off or putting them back in. I am currently on Tray 2 Day 5. The questions I get asked more about invisalign are "do you have to wear them even when you sleep?" Which is funny because this is always asked after I inform them that I must wear them 22hrs in a day lol. I also get asked "Can you eat with the aligners on?" I don't mind the question at all, my family and friends are just curious about the treatment. This is definitely a big adjustment to anyone's lifestyle but it'll be well worth it in my opinion.
Picture time....
The invisalign trays in my opinion are not noticeable at all, in fact my family even forgets that I'm wearing them. I don't think anyone at work noticed until I informed them. I still smile without any hesitation, and believe it or not I forget that I'm wearing them most of the time. The treatment has been great so far with minimal discomfort but I can honestly say NO PAIN.... so far. I'm waiting for it. The attachments don't bother me at all anymore, although they do make the aligners more visible.
I switched trays on Thursday(4/25) before bed, this was highly recommended by many Invisalign bloggers because as I mentioned before the first few days of any new tray are the worst. The trays felt very tight, and made my teeth ache but I fell asleep without any problem and in the morning the trays felt just fine. I didn't have any trouble taking them off or putting them back in. I am currently on Tray 2 Day 5. The questions I get asked more about invisalign are "do you have to wear them even when you sleep?" Which is funny because this is always asked after I inform them that I must wear them 22hrs in a day lol. I also get asked "Can you eat with the aligners on?" I don't mind the question at all, my family and friends are just curious about the treatment. This is definitely a big adjustment to anyone's lifestyle but it'll be well worth it in my opinion.
Picture time....
Taken on 4/25 after completing 2wks with Tray 1
Thanks for reading :)
Saturday, April 13, 2013
Tray 1 with Attachments/Buttons
Hello Again!
Today at 6pm will mark 48hrs of wearing my first invisalign tray. My teeth are a bit sore right now but it's not unbearable, lets not get ahead of ourselves and start at the beginning...
On Friday, April 11th, I had an appointment with my orthodontist at 4:30pm. I was able to see my clinic check and we discussed my treatment plan. They estimate my treatment will last between 12-16 months. I'm starting off with a set of 10 trays. Once I complete the 10 trays another set of moldings will be made to make further adjustments. I was also explained that in my treatment attachments/buttons need to be added. What are attachment? They are small little bumps created on your teeth made out of filling composite. They are used to help certain teeth move a bit more by adding more pressure when the trays are inserted into place. I have seven attachments all together. These attachments will stay during my entire treatment. The dentist started by cleaning the teeth to prep for attachments, she then used an Invisalign template which looked exactly as my first tray but made of a more flexible material. This template had little pockets that my orthodontist filled with filling material. Afterwards she had her assistant harden the filling composite with a bright blue curing light. After the material hardened the buttons are smoothed out to get rid of hard edges. My first Invisalign tray was then put into place. The trays fit very snug but no where near as bad as I had imaged it. I was given a "patient starter kit" that contained: 2 invisalign storage cases & Instruction pamphlet. Along with the started kit I was also given Tray 2 and Tray 3. I am going to wear each tray for 2 weeks and I'm due to see my Ortho on May 25th to check my progress and get my next set of trays(tray 4,5 &6).... so 48hrs later here I am giving you an update. I haven't felt the need to take pain relievers so that's awesome. Here are some pictures of the aligners in.
Today at 6pm will mark 48hrs of wearing my first invisalign tray. My teeth are a bit sore right now but it's not unbearable, lets not get ahead of ourselves and start at the beginning...
On Friday, April 11th, I had an appointment with my orthodontist at 4:30pm. I was able to see my clinic check and we discussed my treatment plan. They estimate my treatment will last between 12-16 months. I'm starting off with a set of 10 trays. Once I complete the 10 trays another set of moldings will be made to make further adjustments. I was also explained that in my treatment attachments/buttons need to be added. What are attachment? They are small little bumps created on your teeth made out of filling composite. They are used to help certain teeth move a bit more by adding more pressure when the trays are inserted into place. I have seven attachments all together. These attachments will stay during my entire treatment. The dentist started by cleaning the teeth to prep for attachments, she then used an Invisalign template which looked exactly as my first tray but made of a more flexible material. This template had little pockets that my orthodontist filled with filling material. Afterwards she had her assistant harden the filling composite with a bright blue curing light. After the material hardened the buttons are smoothed out to get rid of hard edges. My first Invisalign tray was then put into place. The trays fit very snug but no where near as bad as I had imaged it. I was given a "patient starter kit" that contained: 2 invisalign storage cases & Instruction pamphlet. Along with the started kit I was also given Tray 2 and Tray 3. I am going to wear each tray for 2 weeks and I'm due to see my Ortho on May 25th to check my progress and get my next set of trays(tray 4,5 &6).... so 48hrs later here I am giving you an update. I haven't felt the need to take pain relievers so that's awesome. Here are some pictures of the aligners in.
7 Attachments- Two(2) are on my top left central incisor, one(1) on my top right canine(cuspid), one(1) on my bottom left bicuspid, one(1) on my bottom left canine, one(1) on my bottom right bicuspid and one(1) on my bottom right canine.
Patient Starter Kit
Tray 2 & Tray 3
Thursday, April 4, 2013
Trays are in! Appointment set for 4/11
I received a call from my dentist office today :) My trays have finally arrived. I wanted to rush out and pick them up ASAP. I was allowed to leave work early but my dentist wasn't available this afternoon. I was very DISSAPOINTED! I shouldn't be, the dentist office did everything they could to schedule an appointment for me but our schedules completely mismatched. The earliest appointment I could schedule was for 4/11/13 at 4:30pm. I was told by the dental assistant that this appointment will take about 45 minutes since attachments/buttons have to be added. I was very surprised by this news, I thought I would have my first tray in without attachments. I'll also be able to see my clinic check for the first time and discuss my treatment in detail with the dentist. I'm very happy to know when my treatment will start. I'll be sure to post more info after my appointment. I'll also add some pictures of my aligners :)
Friday, March 22, 2013
Cleaning Travel Kit
I continue to wait for my aligners... they should be in any day now. I'm trying not to think about it and enjoy the last few days of freedom I have. Once the aligners come in I unavoidably have to change my day to day habits... water will become my main fluid intake and brushing and flossing 3 to 4 times a day an annoying routine. What a pain! It shall be worth it, right? Yes, it will :)
I did go to Target a few days ago to get my cleaning kit ready and decided to write about it.
I've read countless blogs and articles on how to keep the invisalign aligners clean. Many of the articles recommended setting up a little invisalign travel kit. From what I gathered in my research the kit should contain the following:
1. Soft Bristle Toothbrush (2)
2. Cleaning Solution
3. Small Portable Container with lid
4. Toothpaste
5. Floss or Floss Picks
6. Makeup Bag or Ziplock Bag
7. Small Bottle of Water (optional)
I've mapped out my daily routine, I'll wake up take the aligners off soak them in the cleaning solution for 15-20 minutes. Scrub aligners with toothbrush. Brush and Floss teeth. Insert aligner go to work. I get my lunch at 11:30am, so I'll do the same thing... take off aligners, soak, brush aligner, brush and floss teeth and pop them back in. I get a break at 3pm and if I decide to snack I'll repeat the routine. I'll be out of work by 5pm. I'll eat dinner around 7ish and repeat cleaning routine. This schedule should meet the recommended 22hr wear time for invisalign. Wish me LUCK!!
I did go to Target a few days ago to get my cleaning kit ready and decided to write about it.
I've read countless blogs and articles on how to keep the invisalign aligners clean. Many of the articles recommended setting up a little invisalign travel kit. From what I gathered in my research the kit should contain the following:
1. Soft Bristle Toothbrush (2)
2. Cleaning Solution
3. Small Portable Container with lid
4. Toothpaste
5. Floss or Floss Picks
6. Makeup Bag or Ziplock Bag
7. Small Bottle of Water (optional)
Two Soft Bristle Toothbrush
You will use one toothbrush to clean the aligners and one to brush your teeth.
Cleaning Solution
I found a lot of controversy on what is the best cleaning method. Recommendation vary from using mouth wash, denture cleaning tablets, hydrogen peroxide or even vinegar. I decided to go with the mouth wash. I chose the Listerine Whitening Mouth Rinse. I will be mixing equal parts of mouth wash and water. I also remember reading never to use colored mouth wash because it may stain the aligners. I don't want to have aligners that make my teeth look blue or green... lol
Small Portable Container
This will be used to soak your aligners in the cleaning solution
Toothpaste and Floss
To be used conventionally for oral hygiene
Makeup Bag or Ziplock Bag
To store everything in
Saturday, March 9, 2013
Impressions Pt. 2
I received a call at 11:30 am on 3/7/13 and I was super excited when I saw the dental office name on my phone screen. I thought my trays are in and they need me to go and pick them up. No such luck, my dentist needed me to come in and re-do the impressions/moldings. The first set of moldings had missing impressions of teeth and I was asked to come in and try it again. I took off an hour early from work and headed to the dentist office. I was dropped off by my husband, Henry dropped me off around 4:35. There was absolutely no wait time at all. I was seated right away, and the dentist and assistants went to work immediately. I remember the first set of impressions done was not the most pleasant experience but this one was a bit more unbearable. My dentist had decided to use the largest impression tray they had. It was very wide, so wide they decided to try and trim the edges to help it fit better. I was told that my mouth was very narrow, but was long. The large tray they used in the first set of impressions missed my back molars. My dentist used a dispensing gun to add the impression mix to the tray. They started doing the upper teeth impressions first. This wasn't so bad, they just had to keep adding mixing medium to the tray to try and get a stubborn back molar that didn't want to cooperate. The bottom impression was a nightmare, the tray was really wide and was adding a lot of pressure to my jaw and cheeks. I decided to bear through it and kept thinking "it'll be worth it". Afterwards they needed to take a bite impression so they used the gun dispenser directly on my teeth and asked me to bite down. All the extra mixing medium seeped through and I could feel it forming at the bottom of my mouth. This was very unpleasant. I was very glad when we finished. This took about an hour and half. The dentist told me that they just needed to send these new impressions to invisalign and my trays should be in and ready in 2 weeks. This put a huge 'crocked' smile on my face. The journey continues...
This is what the impression trays look like
Sunday, March 3, 2013
Lets get started
Hello BLOGGERS!! My name is Ana and I'm 27yrs old. I've decided to write down my experience with invisalign. I guess to start off I'll tell you a little about invisalign "clear" braces... they are a series of customized trays designed to straightened out teeth as an alternative to the traditional wire braces. You can learn more by going to the invisalign website.
Back to my journey... I wanted to get my teeth straightened because I have a lot of crowding which not only made me self conscience when I smiled but also could lead to periodontal disease if I wasn't diligent with my brushing and flossing. When I was younger my parents didn't think it was necessary for me to get braces and as a teenager I dreaded the idea of having wire braces.
On 2/16/13 I had my invisalign consultation where I had a chance to look at an invisalign tray. The trays are very flexible and clear. It seems kind of unreal that these little trays could change someone's teeth placement. My dentist and I discussed pricing($4500) and made an appointment to get my pictures and molds/impressions done.
On 2/18/13 I went in and the dentist took impressions of my teeth and a series of pictures. The impressions, pictures and my x-rays are sent to invisalign where they will work with my dentist to map out my teeth movement. Once my clinic check is approved by my dentist the aligners are created. This will take approximately 4-6 weeks. I will then get a series of trays that I must switch out every two weeks so they can gradually shift my teeth into place. I'm really excited and can't wait to get started. I'm a bit nervous at the same time because through my research I've heard a lot of mention of "pressure" being almost unbearable the first day or two with every new tray, but as they say "no pain, no gain". I'm also a bit nervous about having a lisp, but feel this will be a small price to pay for what I'll gain. My treatment is estimated to take 12-18 months and I'll be taking you with me through this marvelous journey. I'll be ending my blog with a series of pictures of my teeth before treatment, which I found helpful when doing my own research. Thanks for taking the time to read :)
Back to my journey... I wanted to get my teeth straightened because I have a lot of crowding which not only made me self conscience when I smiled but also could lead to periodontal disease if I wasn't diligent with my brushing and flossing. When I was younger my parents didn't think it was necessary for me to get braces and as a teenager I dreaded the idea of having wire braces.
On 2/16/13 I had my invisalign consultation where I had a chance to look at an invisalign tray. The trays are very flexible and clear. It seems kind of unreal that these little trays could change someone's teeth placement. My dentist and I discussed pricing($4500) and made an appointment to get my pictures and molds/impressions done.
On 2/18/13 I went in and the dentist took impressions of my teeth and a series of pictures. The impressions, pictures and my x-rays are sent to invisalign where they will work with my dentist to map out my teeth movement. Once my clinic check is approved by my dentist the aligners are created. This will take approximately 4-6 weeks. I will then get a series of trays that I must switch out every two weeks so they can gradually shift my teeth into place. I'm really excited and can't wait to get started. I'm a bit nervous at the same time because through my research I've heard a lot of mention of "pressure" being almost unbearable the first day or two with every new tray, but as they say "no pain, no gain". I'm also a bit nervous about having a lisp, but feel this will be a small price to pay for what I'll gain. My treatment is estimated to take 12-18 months and I'll be taking you with me through this marvelous journey. I'll be ending my blog with a series of pictures of my teeth before treatment, which I found helpful when doing my own research. Thanks for taking the time to read :)
Front Close Bite View
Front Open View
Right Side View
Left Side View
Subscribe to:
Comments (Atom)











