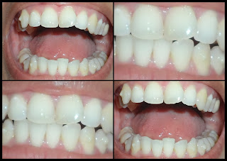
Last visit to my Ortho was on August 4th, I was given 3 trays (T27, T28, and T29) I'm currently on Tray 28. I've been asked to wear each tray for three weeks. These are suppose to be my last trays but I am still not satisfied with how my top central incisor looks, to me it still looks out of place. My ortho asked me to wait until my next visit, we will then see the progress and decide if we should move forward with refinement trays... these will help perfect my smile.
As I switch from tray to tray I notice some discomfort, but nothing compared to what it was when we started this journey. The discomfort at this moment seems to be concentrating on my left side, my jaw feels sore. My ortho tells me this is common and a good sign, means that my bone is readjusting because of the shifts my teeth have made. According to her the discomfort should go away soon. I'm really excited to see the final results. I can definitely see a difference when compared to the first pictures posted on my first blog "Lets get started".... also when comparing T1 to T28 (Wowsers! such a difference)
To end on happy note my sister in law and I are thinking about getting matching tattoos once the treatment is over. Something to mark the orthodontic journey we both took together.
"Smile" seems really appropriate to us, still trying to decide where :) I'll keep you all posted.








